Smile Gallery
Visit Us Today
Your smile is our focus at Village Dental of Forest Hills. To bring out the most in every smile, we blend cutting-edge methods with empathetic care.
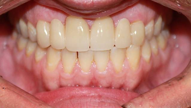
Before/After Whitening

Before/After

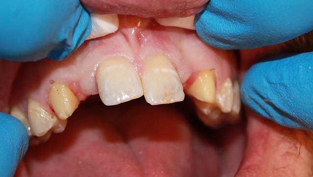
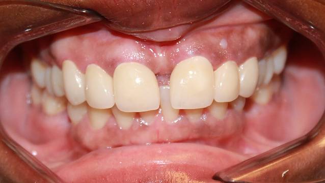
Patient was born without top laterals

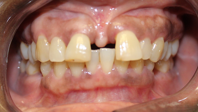
Before/After Gap Reduction
